
Implantology was first practised around 50 years ago and is now a well developed and predictable dental technique with high levels of success. Dental implant treatment is now regarded as the ‘gold standard’ for replacing a missing tooth or teeth.
Whenever teeth are lost, the underlying gum and bone that used to support the teeth will shrink away. In some situations this may lead to unfavorable consequences, such as poor appearance and functional problems with other replacement alternatives, such as dentures.
Although traditional replacement alternatives can work well, for some patients they may not be the best option. Some patients are unable to fully adapt to partial or complete dentures, resulting in loose denture teeth, with associated discomfort, difficulty with chewing and speech problems. Bridgework often involves preparation of the adjacent natural teeth, in order to support the missing teeth.
Replacement of a failing central incisor tooth (click to enlarge)
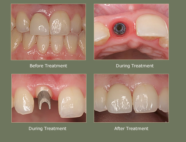
Replacement of the missing upper right central incisor tooth (click to enlarge)
In this case the two missing premolar teeth on the top left have been replaced with dental implants.

Failing upper teeth replaced with a full arch implant supported bridge (click to enlarge)
Failing upper teeth replaced with a full arch implant supported bridge.

When considering replacing missing teeth, dental implants offer the following advantages:
A dental implant is a titanium screw that is carefully positioned into the jawbone to act as a foundation for supporting artificial teeth, crowns, bridges or dentures. Titanium is chosen for this purpose because it is inert, biocompatible and integrates with the surrounding jaw bone with minimal risk of infection. In many ways, the dental implant can be considered to be similar to the natural root of a tooth – it can support a single artificial tooth or denture or can be used in combination with several implants to form the base for a full mouth bridge reconstruction.
Dental implant treatment usually involves two phases, the surgical and the prosthetic phase. The first phase is a surgical phase during which the implant is placed into the jawbone. This is performed at the surgery, under local anesthetic or light sedation. It is likely that a period of 3 – 6 months may be needed to allow the implants to fully integrate with the surrounding bone structure before the artificial teeth can be fitted. During this period, a temporary restoration may be required until the implants are able to support the permanent artificial teeth.
The second phase is the prosthetic phase and involves the construction of the artificial teeth to be supported by the implants. This may take the form of a single crown, a bridge, a denture or a full mouth reconstruction. Our implant services are available from our modern dental practice in Central London.
© Dr Pranay Sharma 2012. Site last in September 2024 | Privacy Policy