
Tooth whitening is an increasingly popular dental technique as it is a near painless, safe and effective way to achieve an improved smile. Teeth can be naturally dark but may also become discoloured over time due to staining foods e.g. tea or coffee and smoking. However, most cases can be treated successfully using modern dental tooth whitening techniques.
Both In-office and supervised at-home whitening systems are available. At-home systems should be individually fitted and closely monitored by your dentist.
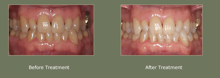
In this case the discoloured and chipped upper front two teeth have been restored using a combination of tooth whitening and composite bonding (click to enlarge)
(click to enlarge)
An initial consultation is necessary to ensure dental health and to select the most appropriate tooth whitening technique, to suit the individual.
The cosmetic dentist applies the bleaching medium to the teeth using a system similar to a sporting gum shield. This bleaching tray should ideally be worn everyday for 2-3 hours, over a two week period. Oxygen from the active ingredients within the bleaching products enters the tooths' enamel surface and painlessly helps stains to disappear without damage to the surrounding tooth structure. In-office techniques may require a special light source (laser / halogen) to assist the bleaching process but this depends on the treatment selected.
In-office bleaching techniques can be completed in an hour but traditional home bleaching techniques may necessitate a few visits to the dentist over a couple of weeks.
The results of tooth whitening should last several years but is dependent on other factors including what you eat and the natural composition of your teeth.
Dr Sharma provides teeth whitening services to complement his advanced dentistry in Central London.
© Dr Pranay Sharma 2012. Site last in September 2024 | Privacy Policy
Website by Dental Media